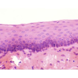
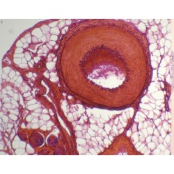
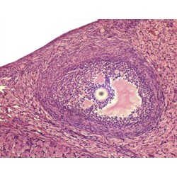
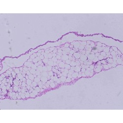
Histologia

Histologia

Filtros activos